DR. DAVID S. KEEN,   D.D.S., M.S.
Aesthetic  .  Restorative  .  Implant Dentistry
  • Welcome
  • Meet Dr. Keen
  • Our Practice
  • Services
    • No-Prep Porcelain Veneers
    • All-Porcelain Metal-Free Crowns
    • Teeth Whitening
    • ZOOM! Whitening
    • Bonding and White Fillings
    • Hygiene/Periodontal Health
    • Night-Guards
    • Dental Implants
    • Bridges
    • Inlays/Onlays
    • Invisalign & Retainers
    • Dentures & Partial Dentures
    • Extractions
  • Technology
    • All-Porcelain High Strength Metal Free Crowns
    • No-Prep Thin Porcelain Veneers
    • Transillumination
    • Digital X-Rays
    • Intraoral Camera
    • Diagnodent
  • Smile Gallery
  • In The Media
  • Testimonials
  • Contact Us

sMILE GALLERY


Welcome to Dr. Keen's Smile Gallery.   Please enjoy reviewing some BEFORE and AFTER photographs of patients that have experienced LIFE-CHANGING SMILE TRANSFORMATIONS.



Before
After

Old Crowns replaced with New Technology Crowns
Left
Left
 
Smile Makeover with No-Prep Porcelain Veneers
Left
Left
In this case, Thin Porcelain Veneers were permanently bonded "OVER" the natural teeth, and NO DRILLING was done at all. The patient was thrilled with the safe and natural smile-enhancing result!
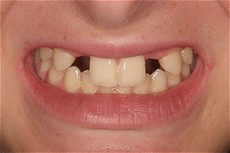
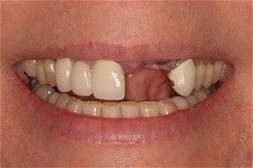
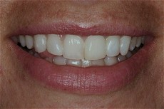
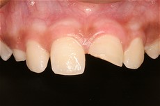
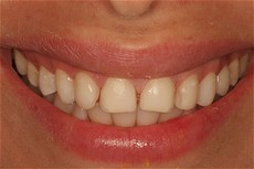
Smile Makeover for Missing and Fractured Teeth
Left
Left
 
Smile Makeover for Short Teeth & Gummy Smile
Left
Left
 
Smile Makeover for Short Teeth & Excess Gum Tissue
Left
Left
 
Smile Makeover for Short Dark Teeth & Gummy Smile
Left
Left
 
Bleaching and Bonding - Case 1
Left
Left
 
Bleaching and Bonding - Case 2
Left
Left
 
Bleaching and Bonding - Case 3
Left
Left
 
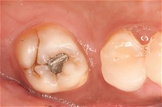
Change Old Silver Fillings to be Natural White
Left
Left
 
Dental Implants to Replace Missing Teeth
Left
Left
 
Repair of a Fractured Tooth for an 8 year old
Left
Left
 
Dark Discolored Teeth whitened with Bleaching
Left
Left
In this case, the 76 year old patient was told by many dentists that she was not a candidate for bleaching, and that her teeth would not whiten significantly with traditional bleaching techniques. Her previous dentist even said that she would require veneers or crowns to achieve a good result.

The patient consulted with Dr. Keen, and by using the latest technology bleaching materials, Dr. Keen achieved a fantastic result that other dentists stated was impossible. The patient is extremely grateful to Dr. Keen for his conservative approach, and her renewed smile.
Thin (No-Prep) Veneers & Bonding - Case 1
Left
Left
Large spaces between teeth can be closed easily with Dr. Keen's artistic touch.
Short teeth can be lengthened to create the natural, uniform smile that we all want.
Thin (No-Prep) Veneers & Bonding - Case 2
Left
Left
Short teeth and crooked-looking teeth can be improved with very conservative techniques. In this case, Dr. Keen performed resin bonding and Ultra-thin No-Prep Veneers to create this subtle, but dramatic smile enhancement.

For your smile, subtle enhancements are best, because no one can tell what has been done.
Short teeth Lengthened with No-Prep Veneers
Left
Left
 
Short Flat Teeth lengthened with No-Prep Veneers
Left
Left
When teeth become flat due to grinding or clenching, the teeth become shorter and the edges become rough and chipped. By recreating the natural, rounded edges of teeth that are flat and worn, Dr. Keen can re-establish the youthful appearance to your smile.
Diamonds are Forever
Left
Left
 
Dental Implants to Replace Missing Upper Teeth
Left
Left
 
Dental Implants
Left
Left
 
No-Prep Porcelain Veneers and a Porcelain Crown
Left
Left
In this photograph, the old root-canaled front tooth was very dark, subsequent to a trauma accident. The adjacent teeth were short, thin and chipped. Also, the teeth were slanting inwards. Thin No-Prep Porcelain Veneers were used in conjunction with a Porcelain Crown (Full-Veneer) to re-establish proper lip support, while providing excellent strength and the ideal increased length for the teeth. The result was a natural, youthful and healthy smile.
No-Prep Porcelain Veneers - ARTISTIC LAB WORK
Left
Left
 
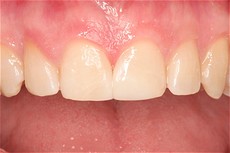
No-Prep Porcelain Veneers - Case 1
Left
Left
Short and chipped teeth can be lengthened with No-Prep Porcelain Veneers.
These thin shells of porcelain are placed over your teeth with NO drilling.
No-Prep Porcelain Veneers - Case 2
Left
Left
 
Close spaces w/ No-Prep Porcelain Veneers - Case 3
Left
Left
 
Short Teeth Lengthened w/ No-Prep Veneers - Case 4
Left
Left
 
Bleaching and Bonding Treatment
Left
Left
 
ZOOM Advanced Power & Bonding
Left
Left
 
Bonding to repair Small Tooth Cracks
Left
Left
Chips and cracks in your front teeth may give the impression that your teeth are not healthy, and can negatively affect the overall appearance of your smile. Dr. Keen can easily re-create the youthful, beautiful appearance of your smile with resin bonding. This procedure was completed with no removal of any tooth structure. The patient was amazed and grateful for the results.
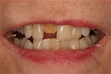
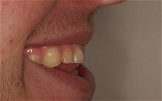
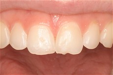
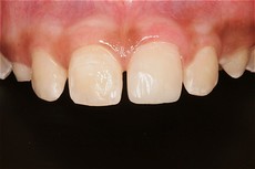
Trauma - Repair of Fractured Teeth
Left
Left
 
Trauma - Deep fracture lines Diagnosed
Left
Left
From this photograph, one can clearly visualize the many fracture lines in the teeth, that resulted from the facial trauma. It is important to note that the numerous fracture lines were not easily seen with the naked eye. This helpful diagnostic technique, which utilizes a light source, is called TRANSILLUMINATION.
Repair Fractured Teeth
Left
Left
This patient fractured her front tooth as a result of facial trauma. The broken tooth was deemed unrestorable by many other dentists, and the patient was told that the tooth needed to be surgically extracted and replaced by a dental implant.

Dr. Keen saved the tooth and restored its natural appearance with an all porcelain crown (full veneer). The patient was extremely grateful, and stated that the result was "spectacular".
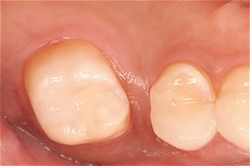
Change Old Silver Fillings to be Natural White
Left
Left
Old Silver Amalgam fillings can be replaced with conservative, beautiful white
resin restorations to restore the health and natural beauty of your teeth.
OFFICE HOURS

Mon
8:30am - 5:30pm
Tue
8:30am - 5:30pm
Wed
8:30am - 5:30pm
Thu
8:30am - 5:30pm
Fri
By Appointment Only
Sat
By Appointment Only
CONTACT INFORMATION

414 N. Camden Drive - Suite 700
Beverly Hills, CA 90210

Tel:
310.550.6233
Fax:
310.550.6754
Join Our Mailing List
LIKE US TODAY
Dr Keen Instagram
Dr Keen Facebook
Beverly Hills Dentist. David Keen provides Cosmetic Dentist, Prosthodontist, Veneers , Aesthetic Dentistry, Bridges, Crowns, Dental Implants to the following locations: 90210, Los Angeles, Santa Monica, Hollywood. 90210 Dentist providing professional dentistry including Cosmetic Dentist, Prosthodontist, Veneers , Aesthetic Dentistry, Bridges, Crowns, Dental Implants in Beverly Hills, 90210, Los Angeles, Santa Monica, Hollywood, California.
All content © copyright • website designed by dylan ramsey